MEDizzy
MEDizzy
Farid_khateri
Farid_khateriabout 7 years ago
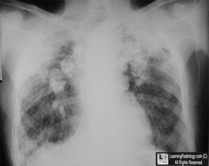
What's the name of this sign??

What's the name of this sign??

1. Hair-on-end 2. Deep sulcus sign 3. Angel wing sign 4. Eggshell calcification 5. Homan's sign

23
Other commentsSign in to post comments. You don't have an account? Sign up now!
about 7 years ago

Eggshell calcification, maybe silicosis?

about 7 years ago

True

about 7 years ago

Eggshell calcification

about 7 years ago

Eggshell..may be silicosis

about 7 years ago

4

almost 7 years ago

Yes

Recent MCQs















Show more MCQs

Recent flashcard sets















Show more flashcards