MEDizzy
MEDizzy
Zunaira saleh
Zunaira salehabout 1 year ago
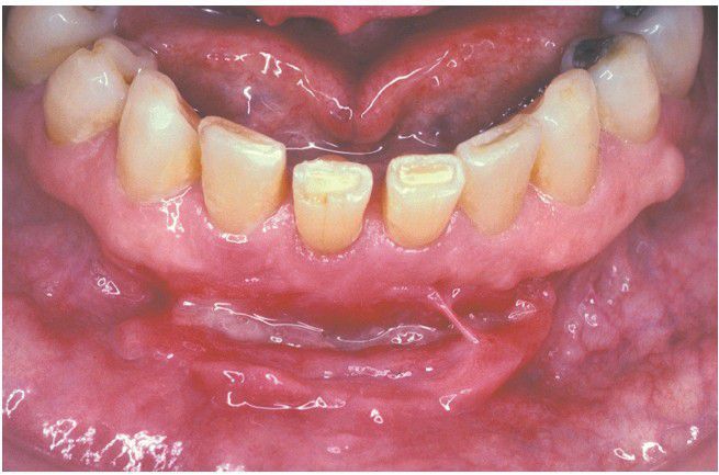
Crohn Disease.

Crohn Disease.

 This patient has a linear ulceration of the mandibular vestibule. An adhesion between the alveolar and labial mucosae was caused by repeated ulceration and healing of the mucosa at this site. 

0
Other commentsSign in to post comments. You don't have an account? Sign up now!

Recent MCQs















Show more MCQs

Recent flashcard sets















Show more flashcards