MEDizzy
MEDizzy
Zunaira saleh
Zunaira salehabout 1 year ago
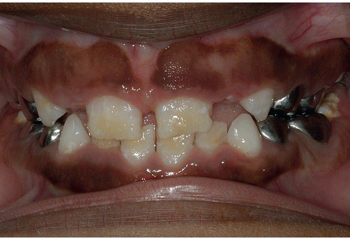
Vitamin D Deficiency.

Vitamin D Deficiency.

 Hypocalcification of the teeth is seen in this child who had vitamin D deficiency related to a diet of breast milk exclusively and lack of adequate sunlight exposure.

0
Other commentsSign in to post comments. You don't have an account? Sign up now!

Recent MCQs















Show more MCQs

Recent flashcard sets















Show more flashcards