
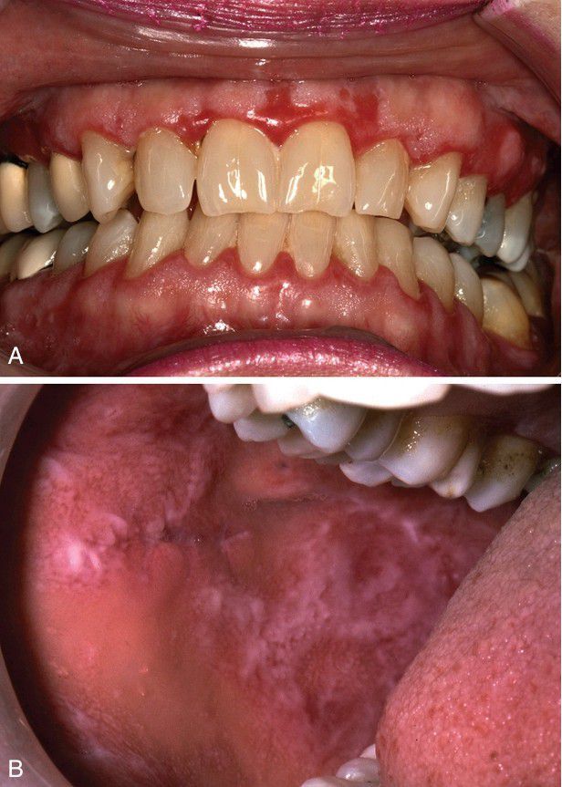
A, Gingival lesions having a “desquamative gingivitis” presentation, requiring biopsy with direct immunofluorescence studies for diagnosis. B, Buccal mucosal involvement. The lesions appear somewhat lichenoid, although classic Wickham striae are not evident.