Feed
Library
Learning
Discuss
Leaderboard
Journal
Sign in
Login
Sign up
Sign in
Feed
Library
Learning
Discuss
Leaderboard
Journal
Zunaira saleh
about 1 year ago
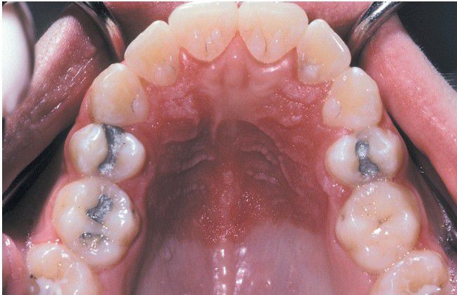
Hereditary Mucoepithelial Dysplasia
. Marked erythema of the anterior hard palate.
Dysplasia
Hereditary
Hardpalate
0
0
0
Other comments
Sign in
to post comments. You don't have an account?
Sign up now!
Related posts
Cervical intraepithelial neoplasia (CIN) and squamous intraepithelial lesions (SIL).
Hyperekplexia
Fabry disease
Hereditary ectodermal dysplasia
Dentinal dysplasia.
Segmental odontomaxillary dysplasia
Periapical cemento-osseous dysplasia.
Cleidocranial dysplasia
Mild dysplasia.
Mild dysplasia
Recent MCQs
Show more MCQs
Recent flashcard sets
Show more flashcards
Feed
Learn
Add
Search
Discuss