Feed
Library
Learning
Discuss
Leaderboard
Journal
Sign in
Login
Sign up
Sign in
Feed
Library
Learning
Discuss
Leaderboard
Journal
Zunaira saleh
about 1 year ago
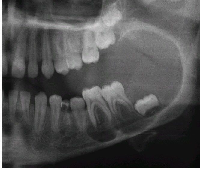
Unicystic Ameloblastoma.
A large radiolucency associated with the crown of the developing mandibular third molar.
Oralpathology
Radiograph
Ameloblastoma
0
0
0
Other comments
Sign in
to post comments. You don't have an account?
Sign up now!
Related posts
Radiographic examination for implants
Cbct case study
Cone-beam computed tomography image
Radiograph of cyst
History of present complaint
Deceptive normal variant
Deceptive normal variant
Ameloblastoma
Unicystic presentation of ameloblastoma
Unicystic ameloblastoma
Recent MCQs
Show more MCQs
Recent flashcard sets
Show more flashcards
Feed
Learn
Add
Search
Discuss