MEDizzy
MEDizzy
Zunaira saleh
Zunaira salehabout 1 year ago
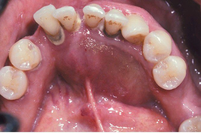
Ameloblastoma

Ameloblastoma

. Prominent expansion of the lingual alveolus caused by a large ameloblastoma of the mandibular symphysis. 

0
Other commentsSign in to post comments. You don't have an account? Sign up now!

Recent MCQs















Show more MCQs

Recent flashcard sets















Show more flashcards