MEDizzy
MEDizzy
Zunaira saleh
Zunaira salehover 1 year ago
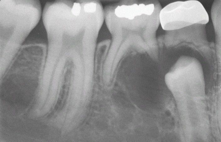
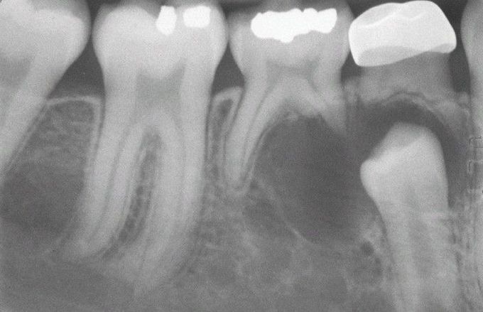
Odontogenic Keratocyst (OKC).

Odontogenic Keratocyst (OKC).

 This cyst involves the crown of an unerupted premolar. Radiographically, this lesion cannot be differentiated from a dentigerous cyst. 

0
Other commentsSign in to post comments. You don't have an account? Sign up now!

Recent MCQs















Show more MCQs

Recent flashcard sets















Show more flashcards