Feed
Library
Learning
Discuss
Leaderboard
Journal
Sign in
Login
Sign up
Sign in
Feed
Library
Learning
Discuss
Leaderboard
Journal
Zunaira saleh
over 1 year ago
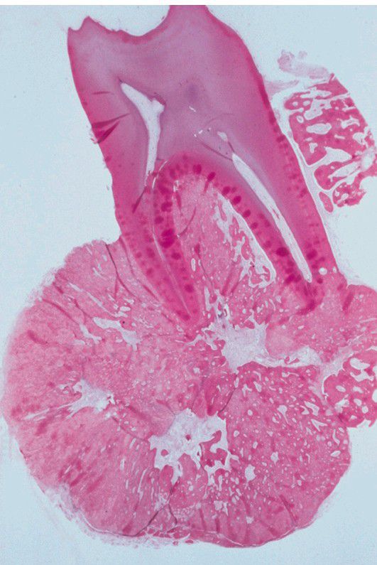
Cementoblastoma
. Low-power photomicrograph showing the tumor attached to the roots of the tooth.
Tumor
Cementoblastoma
Rootapex
0
0
0
Other comments
Sign in
to post comments. You don't have an account?
Sign up now!
Related posts
Wilms’ tumour.
Epithelial bladder tumor
Epithelial bladder tumours
Solid ovarian tumour
Warthin's Tumor I
Warthin tumor
Adenomatoid odontogenic tumour
Cementoblastoma
Cementoblastoma
Melanotic neuroectodermal tumour of infancy.
Recent MCQs
Show more MCQs
Recent flashcard sets
Show more flashcards
Feed
Learn
Add
Search
Discuss