Feed
Library
Learning
Discuss
Leaderboard
Journal
Sign in
Login
Sign up
Sign in
Feed
Library
Learning
Discuss
Leaderboard
Journal
Zunaira saleh
about 1 year ago
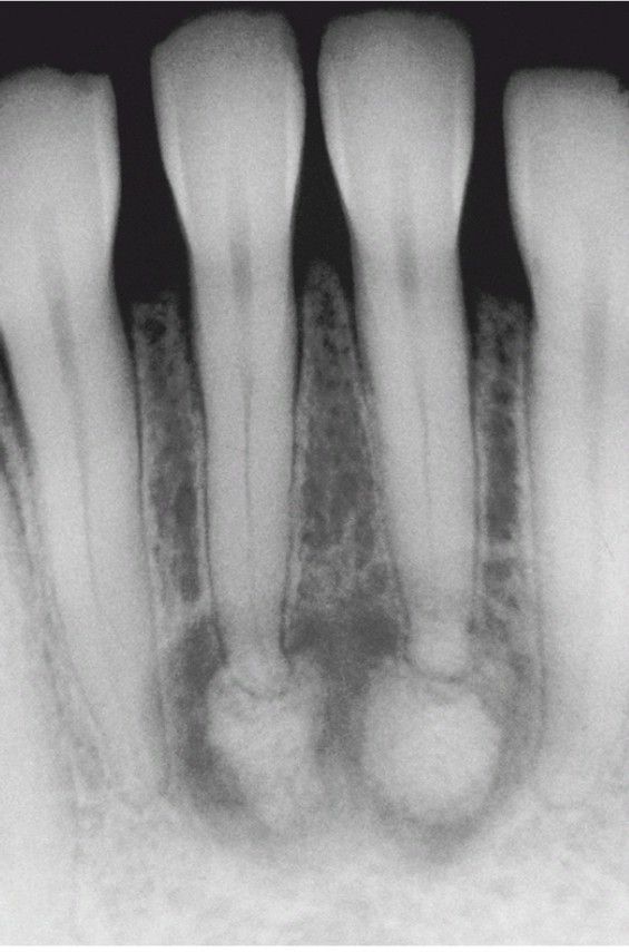
Periapical Cemento-Osseous Dysplasia.
Laterstage lesions exhibiting significant mineralization.
Dysplasia
Periapical
Cementoosseous
0
0
0
Other comments
Sign in
to post comments. You don't have an account?
Sign up now!
Related posts
Root end resection
Hereditary ectodermal dysplasia
Dentinal dysplasia.
Segmental odontomaxillary dysplasia
Chronic periapical abscess
Periapical cemento-osseous dysplasia.
Cleidocranial dysplasia
Mild dysplasia.
Mild dysplasia
Periapical Pathologies
Recent MCQs
Show more MCQs
Recent flashcard sets
Show more flashcards
Feed
Learn
Add
Search
Discuss