MEDizzy
MEDizzy
Zunaira saleh
Zunaira salehabout 1 year ago
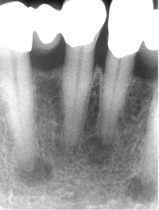
Periapical Cemento-Osseous Dysplasia.

Periapical Cemento-Osseous Dysplasia.

Periapical radiograph showing multiple radiolucent lesions at the apices of the anterior mandibular teeth

0
Other commentsSign in to post comments. You don't have an account? Sign up now!

Recent MCQs















Show more MCQs

Recent flashcard sets















Show more flashcards