Feed
Library
Learning
Discuss
Leaderboard
Journal
Sign in
Login
Sign up
Sign in
Feed
Library
Learning
Discuss
Leaderboard
Journal
Zunaira saleh
over 1 year ago
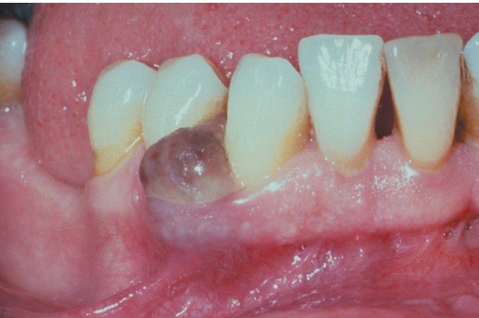
Metastatic Melanoma
Pigmented nodule of the mandibular gingiva.
Gingiva
Metastasis
Nodule
0
0
0
Other comments
Sign in
to post comments. You don't have an account?
Sign up now!
Related posts
Metastasis in liver
Nodular enlargement of the prostate.
Nodular hyperplasia of the prostate.
Gingival sulcus and epithelial attachment
The strength of the epithelial attachment
Metastatic carcinoma of the mandible.
Fibroma
Fibromatosis
Fibromatosis gingiva
Cyclosporine induced gingival enlargement
Recent MCQs
Show more MCQs
Recent flashcard sets
Show more flashcards
Feed
Learn
Add
Search
Discuss