Feed
Library
Learning
Discuss
Leaderboard
Journal
Sign in
Login
Sign up
Sign in
Feed
Library
Learning
Discuss
Leaderboard
Journal
Zunaira saleh
about 1 year ago
Leiomyosarcoma
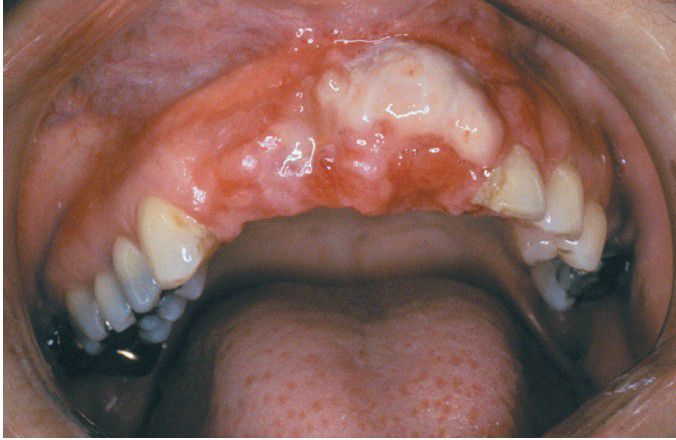
Ulcerated mass of the anterior maxillary alveolar ridge.
Ulcer
Mass
Leiomyosarcoma
0
0
0
Other comments
Sign in
to post comments. You don't have an account?
Sign up now!
Related posts
Matted mass of lymph nodes.
Peptic ulcers
Gastric ulcer
Rodent ulcer
Peptic ulcer sites
Excisional biopsy of a tongue ulcer.
Diagnosis?
Acute necrotising ulcerative gingivitis
Traumatic ulcer
Major aphthous ulcer
Recent MCQs
Show more MCQs
Recent flashcard sets
Show more flashcards
Feed
Learn
Add
Search
Discuss