Feed
Library
Learning
Discuss
Leaderboard
Journal
Sign in
Login
Sign up
Sign in
Feed
Library
Learning
Discuss
Leaderboard
Journal
Zunaira saleh
over 1 year ago
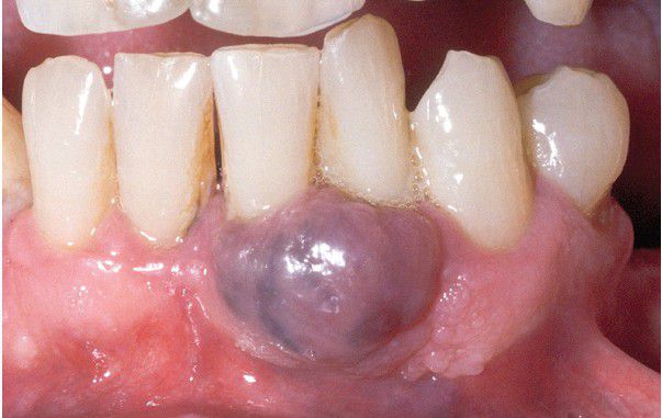
Peripheral Giant Cell Granuloma
. Nodular bluepurple mass of the mandibular gingiva.
Cell
Granuloma
Giant
Peripheral
0
0
0
Other comments
Sign in
to post comments. You don't have an account?
Sign up now!
Related posts
Oxyntic cell
Cell divisions during spermatogenesis.
Cell injection therapy
Granuloma of second premolar
The Cell
Parts of Plant Cells
Giant cell granuloma.
Pyogenic granuloma
Peripheral giant cell granuloma
Peripheral giant cell granuloma
Recent MCQs
Show more MCQs
Recent flashcard sets
Show more flashcards
Feed
Learn
Add
Search
Discuss