MEDizzy
MEDizzy
Zunaira saleh
Zunaira salehover 1 year ago
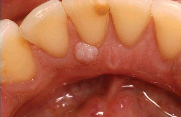
Giant Cell Fibroma

Giant Cell Fibroma

. Papillary growth on the lingual mandibular gingiva. Because of the rough surface, this lesion would be easily mistaken for a papilloma. 

0
Other commentsSign in to post comments. You don't have an account? Sign up now!

Recent MCQs















Show more MCQs

Recent flashcard sets















Show more flashcards