Feed
Library
Learning
Discuss
Leaderboard
Journal
Sign in
Login
Sign up
Sign in
Feed
Library
Learning
Discuss
Leaderboard
Journal
Zunaira saleh
about 1 year ago
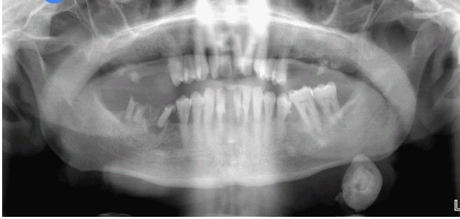
Sialolithiasis
. Radiopaque mass located at the left angle of the mandible.
Mandible
Angle
Sialolithiasis
0
0
0
Other comments
Sign in
to post comments. You don't have an account?
Sign up now!
Related posts
Mandibular excess.
Mandibular excess
Sagittal split osteotomy
Mandibular advancement
Mandibular advancement
Mandibular deviation following Hemimandibulectomy
Identify the Canine Angle Class
Paths of infection spread from lower molars.
Cancellous osteoma of the mandible
Condylectomy
Recent MCQs
Show more MCQs
Recent flashcard sets
Show more flashcards
Feed
Learn
Add
Search
Discuss