
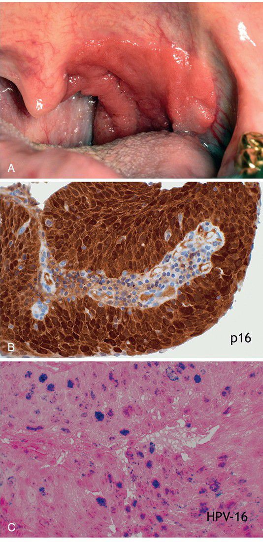
. A, Large, erythroplakic lesion involving the left soft palate and tonsillar region. B, Immunohistochemical staining showed the tumor to be positive for p16, which is a surrogate marker for transcriptionally active, high-risk human papilloma virus (HPV) infection among oropharyngeal squamous cell carcinomas. C, In situ hybridization (ISH) demonstrated the presence of intranuclear HPV 16 DNA.