
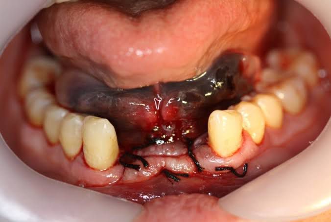
Like any surgery, dental implant surgery poses some health risks. Problems are rare, though, and when they do occur they're usually minor and easily treated. Risks include: Infection at the implant site Injury or damage to surrounding structures, such as other teeth or blood vessels Nerve damage, which can cause pain, numbness or tingling in your natural teeth, gums, lips or chin Sinus problems, when dental implants placed in the upper jaw protrude into one of your sinus cavities