Feed
Library
Learning
Discuss
Leaderboard
Journal
Sign in
Login
Sign up
Sign in
Feed
Library
Learning
Discuss
Leaderboard
Journal
Zunaira saleh
over 1 year ago
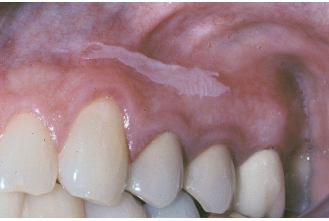
Sanguinaria-associated Keratosis
. Thin white plaque on the maxillary alveolar mucosa.
White
Plaque
Keratosis
0
0
0
Other comments
Sign in
to post comments. You don't have an account?
Sign up now!
Related posts
Actinic Keratosis
Actinic Keratosis vs Seborrheic Keratosis
White Sponge Nevus
White Blood Cell Counts
Atheromatous plaque
Atheromatous plaque.
White lesions
Seborrheic keratosis.
Development of atherosclerotic plaque
Dental plaque
Recent MCQs
Show more MCQs
Recent flashcard sets
Show more flashcards
Feed
Learn
Add
Search
Discuss