Feed
Library
Learning
Discuss
Leaderboard
Journal
Sign in
Login
Sign up
Sign in
Feed
Library
Learning
Discuss
Leaderboard
Journal
Zunaira saleh
over 1 year ago
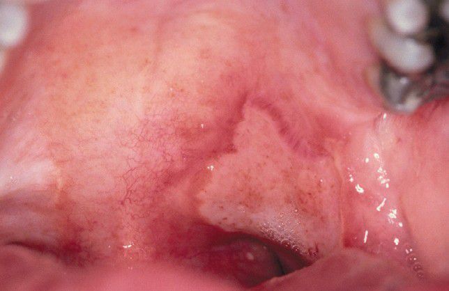
Major Aphthous Ulceration
. Large, irregular ulceration of the soft palate.
Ulcer
Aphthous
Major
0
0
0
Other comments
Sign in
to post comments. You don't have an account?
Sign up now!
Related posts
Rodent ulcer
Peptic ulcer sites
Excisional biopsy of a tongue ulcer.
Diagnosis?
Acute necrotising ulcerative gingivitis
Traumatic ulcer
Aphthous stomatitis, major type.
Recurrent aphthous stomatitis, herpetiform type.
Major aphthous ulcer
Herpetiform aphthous ulcer
Recent MCQs
Show more MCQs
Recent flashcard sets
Show more flashcards
Feed
Learn
Add
Search
Discuss