MEDizzy
MEDizzy
Zunaira saleh
Zunaira salehalmost 2 years ago
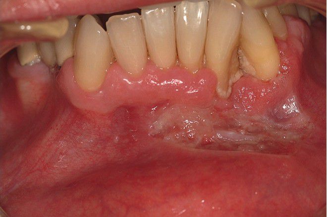
Histoplasmosis

Histoplasmosis

. This ulcerated granular lesion involves the mandibular labial vestibule and is easily mistaken clinically for carcinoma. Biopsy established the diagnosis. 

0
Other commentsSign in to post comments. You don't have an account? Sign up now!

Recent MCQs















Show more MCQs

Recent flashcard sets















Show more flashcards