Feed
Library
Learning
Discuss
Leaderboard
Journal
Sign in
Login
Sign up
Sign in
Feed
Library
Learning
Discuss
Leaderboard
Journal
Zunaira saleh
almost 2 years ago
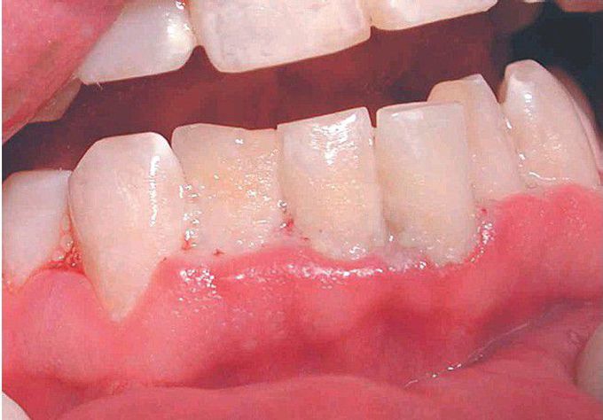
Gonorrhea
. Necrosis, purulence, and hemorrhage of the anterior mandibular gingiva
Oralpathology
Gingiva
Gonorrhoea
0
0
0
Other comments
Sign in
to post comments. You don't have an account?
Sign up now!
Related posts
Deceptive normal variant
Deceptive normal variant
Gingival sulcus and epithelial attachment
The strength of the epithelial attachment
Fibroma
Fibromatosis
Fibromatosis gingiva
Cyclosporine induced gingival enlargement
https://www.facebook.com/BiomaProbioticsPage/
Ozalyn
Recent MCQs
Show more MCQs
Recent flashcard sets
Show more flashcards
Feed
Learn
Add
Search
Discuss