Feed
Library
Learning
Discuss
Leaderboard
Journal
Sign in
Login
Sign up
Sign in
Feed
Library
Learning
Discuss
Leaderboard
Journal
Zunaira saleh
almost 2 years ago
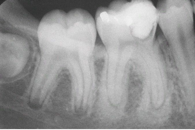
Condensing Osteitis.
Increased areas of radiodensity surrounding the apices of the nonvital mandibular first molar.
Oralpathology
Osteitis
Condensing
0
0
0
Other comments
Sign in
to post comments. You don't have an account?
Sign up now!
Related posts
Odontogenic infection
sinus tract
Extraoral sinus tract
Odontogenic infection
irreversible pulpitis
Cementoma
History of present complaint
Deceptive normal variant
Deceptive normal variant
Sclerosing osteitis,
Recent MCQs
Show more MCQs
Recent flashcard sets
Show more flashcards
Feed
Learn
Add
Search
Discuss