MEDizzy
MEDizzy
Zunaira saleh
Zunaira salehalmost 2 years ago
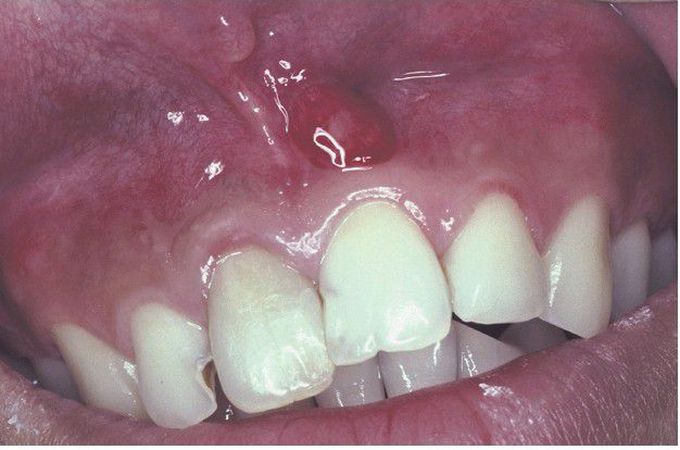
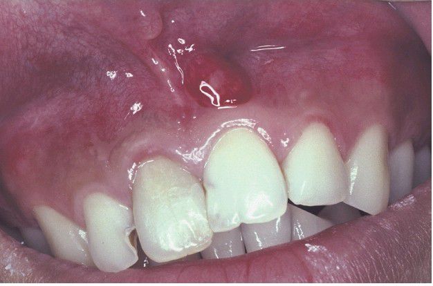
Parulis

Parulis

. Erythematous mass of granulation tissue overlying the left maxillary central incisor. Note discoloration of the maxillary right central incisor. 

0
Other commentsSign in to post comments. You don't have an account? Sign up now!

Recent MCQs















Show more MCQs

Recent flashcard sets















Show more flashcards