MEDizzy
MEDizzy
Zunaira saleh
Zunaira salehover 1 year ago
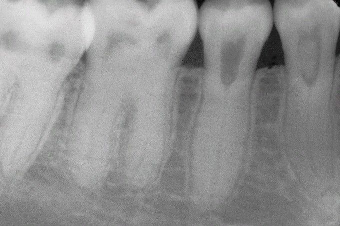
Dentin Dysplasia Type II (DD-II).

Dentin Dysplasia Type II (DD-II).

 Radiographic appearance of the permanent dentition exhibiting thistle tube–shaped enlargements of the pulp chambers and numerous pulp stone

0
Other commentsSign in to post comments. You don't have an account? Sign up now!

Recent MCQs















Show more MCQs

Recent flashcard sets















Show more flashcards