MEDizzy
MEDizzy
Zunaira saleh
Zunaira salehover 1 year ago
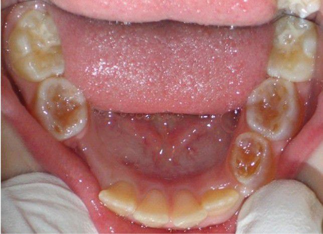
Dentin Dysplasia Type II (DD-II)

Dentin Dysplasia Type II (DD-II)

Dentition demonstrating darkened and translucent deciduous molars in association with permanent incisors and first molars that appear clinically normal. 

0
Other commentsSign in to post comments. You don't have an account? Sign up now!

Recent MCQs















Show more MCQs

Recent flashcard sets















Show more flashcards