MEDizzy
MEDizzy
Zunaira saleh
Zunaira salehalmost 2 years ago
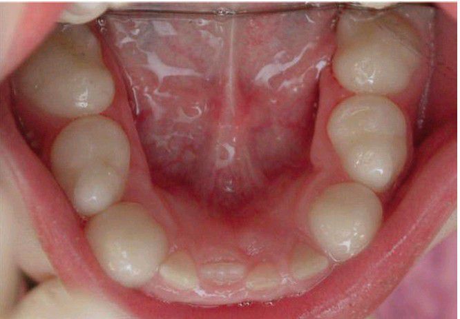
Globodontia

Globodontia

Dentition demonstrating clinically normal anterior teeth and posterior teeth with enlarged bulbous crowns. Patient had undiagnosed hearing loss that was discovered following identification of otodental syndrome by dentist. 

0
Other commentsSign in to post comments. You don't have an account? Sign up now!

Recent MCQs















Show more MCQs

Recent flashcard sets















Show more flashcards