MEDizzy
MEDizzy
Zunaira saleh
Zunaira salehalmost 2 years ago
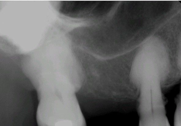
Hypercementosis

Hypercementosis

Periapical radiograph of the tooth. Note the radiopaque enlargement of the apical portion of the tooth. 

0
Other commentsSign in to post comments. You don't have an account? Sign up now!

Recent MCQs















Show more MCQs

Recent flashcard sets















Show more flashcards