MEDizzy
MEDizzy
Zunaira saleh
Zunaira salehalmost 2 years ago
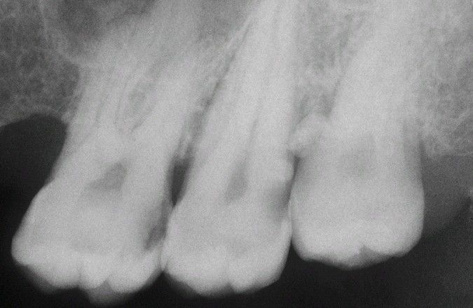
Enamel pearl radiograph

Enamel pearl radiograph

Radiopaque nodule on the mesial surface of the root of the maxillary third molar. Another less distinct enamel pearl is present on the distal root of the second molar. 

0
Other commentsSign in to post comments. You don't have an account? Sign up now!

Recent MCQs















Show more MCQs

Recent flashcard sets















Show more flashcards