MEDizzy
MEDizzy
Sheeza Basharat
Sheeza Basharatalmost 2 years ago
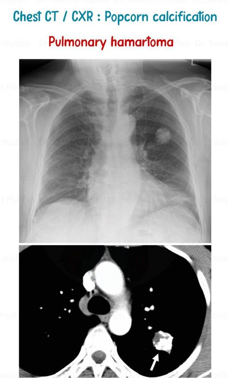
Pulmonary Hemartoma

Pulmonary Hemartoma

Pulmonary hamartomas are benign malformations of the lung and include an abnormal mixture of tissue components such as cartilage, epithelium, fat, or muscle which are common to the lung but the organ architecture is not preserved

0
Other commentsSign in to post comments. You don't have an account? Sign up now!

Recent MCQs















Show more MCQs

Recent flashcard sets















Show more flashcards