MEDizzy
MEDizzy
Zunaira saleh
Zunaira salehalmost 2 years ago
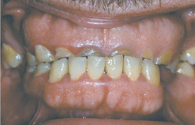
Attrition

Attrition

Extensive loss of coronal tooth height without pulp exposure in patient with anterior edge-to-edge occlusion

0
Other commentsSign in to post comments. You don't have an account? Sign up now!

Recent MCQs















Show more MCQs

Recent flashcard sets















Show more flashcards