MEDizzy
MEDizzy
Zunaira saleh
Zunaira salehalmost 2 years ago
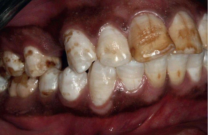
Flourosis

Flourosis

Diffuse white opaque alteration of the dentition with areas of brown enamel mottling. Patient spent his childhood in Keny

0
Other commentsSign in to post comments. You don't have an account? Sign up now!

Recent MCQs















Show more MCQs

Recent flashcard sets















Show more flashcards