MEDizzy
MEDizzy
Zunaira saleh
Zunaira salehalmost 2 years ago
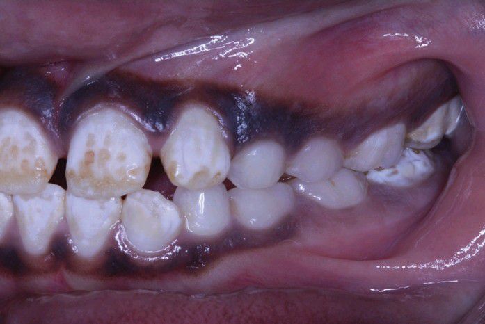
Flourosis

Flourosis

Dentition exhibiting lusterless, white, and opaque enamel with areas of chipping. Notice that the deciduous teeth are spared. 

0
Other commentsSign in to post comments. You don't have an account? Sign up now!

Recent MCQs















Show more MCQs

Recent flashcard sets















Show more flashcards