MEDizzy
MEDizzy
Zunaira saleh
Zunaira salehalmost 2 years ago
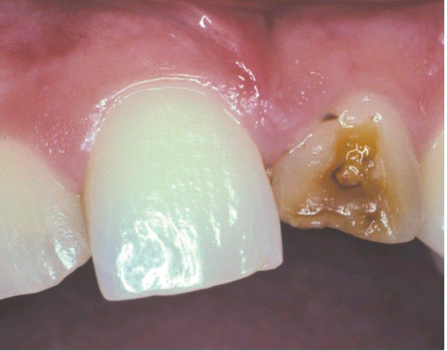
Turner's hypoplasia

Turner's hypoplasia

Extensive coronal hypoplasia of permanent maxillary left central incisor secondary to previous trauma to deciduous central incisor. 

0
Other commentsSign in to post comments. You don't have an account? Sign up now!

Recent MCQs















Show more MCQs

Recent flashcard sets















Show more flashcards