
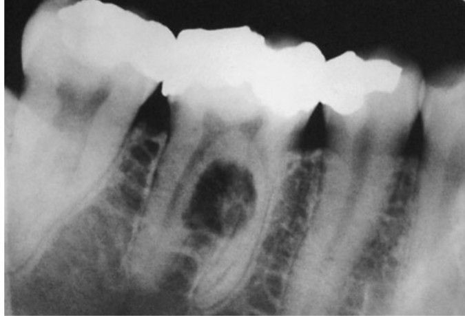
Periapical radiograph demonstrating bone destruction in the furcation of the first molar tooth and associated resorption of the root. A subsequent biopsy specimen demonstrated squamous cell carcinoma, which was diagnosed as a primary intra-alveolar lesion.