MEDizzy
MEDizzy
Zunaira saleh
Zunaira salehalmost 2 years ago
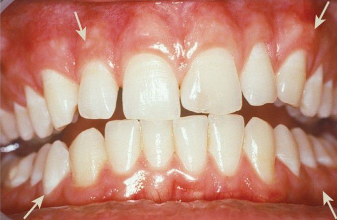
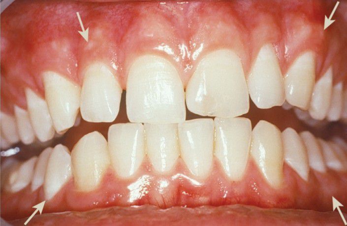
Normal gingiva

Normal gingiva

Normal gingiva in a young adult. Note the demarcation (mucogingival line) (arrows) between the attached gingiva and the darker alveolar mucosa.

0
Other commentsSign in to post comments. You don't have an account? Sign up now!

Recent MCQs















Show more MCQs

Recent flashcard sets















Show more flashcards