Feed
Library
Learning
Discuss
Leaderboard
Journal
Sign in
Login
Sign up
Sign in
Feed
Library
Learning
Discuss
Leaderboard
Journal
Zunaira saleh
over 1 year ago
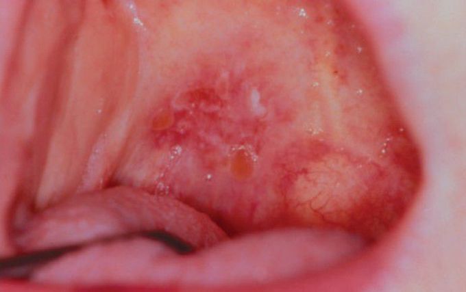
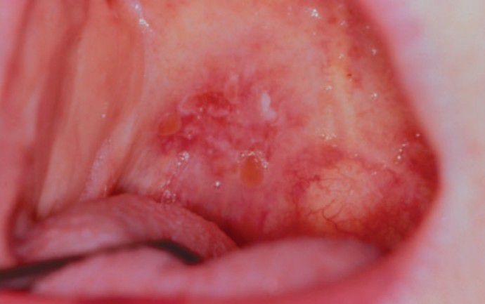
Mucous membrane pemphigoid
Mucous membrane pemphigoid causing scarring of the soft palate.
Membrane
Pemphigoid
Mucous
0
0
0
Other comments
Sign in
to post comments. You don't have an account?
Sign up now!
Related posts
Mucous Membrane Pemphigoid
Bullous Pemphigoid.
Bullous Pemphigoid.
Neonatal hyaline membrane disease.
Mucous retention cyst (mucocele).
Cell membrane
Respiratory membrane
Respiratory membrane
Intrasonal membrane potential
Mucous membrane pemphigoid
Recent MCQs
Show more MCQs
Recent flashcard sets
Show more flashcards
Feed
Learn
Add
Search
Discuss