MEDizzy
MEDizzy
Zunaira saleh
Zunaira salehabout 1 year ago
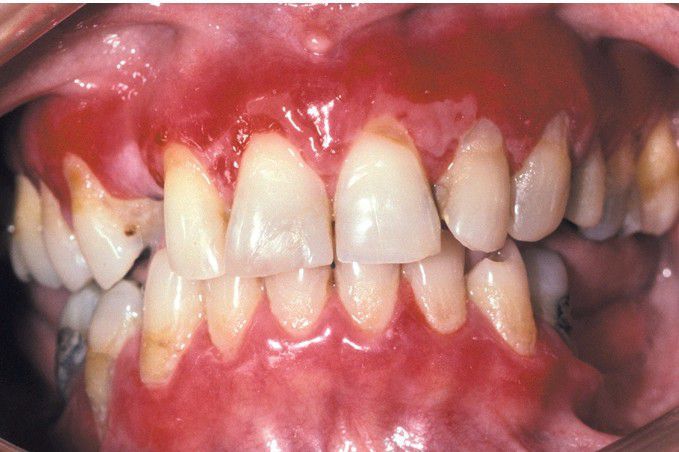
Mucous Membrane Pemphigoid

Mucous Membrane Pemphigoid

Often the gingival tissues are the only affected site, resulting in a clinical pattern known as desquamative gingivitis. Such a pattern may also be seen with lichen planus and pemphigus vulgaris. 

0
Other commentsSign in to post comments. You don't have an account? Sign up now!

Recent MCQs















Show more MCQs

Recent flashcard sets















Show more flashcards