MEDizzy
MEDizzy
Zunaira saleh
Zunaira salehalmost 2 years ago
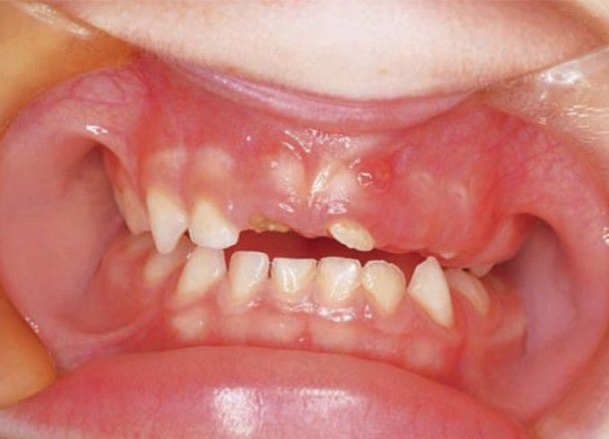
Regional odontodysplasia

Regional odontodysplasia

Regional odontodysplasia is a dental abnormality that involves the hard tissues derived from both epithelial (enamel) and mesenchymal (dentin and cementum) components of the tooth-forming apparatus.

0
Other commentsSign in to post comments. You don't have an account? Sign up now!

Recent MCQs















Show more MCQs

Recent flashcard sets















Show more flashcards