Feed
Library
Learning
Discuss
Leaderboard
Journal
Sign in
Login
Sign up
Sign in
Feed
Library
Learning
Discuss
Leaderboard
Journal
Zunaira saleh
almost 2 years ago
Abrasion of teeth
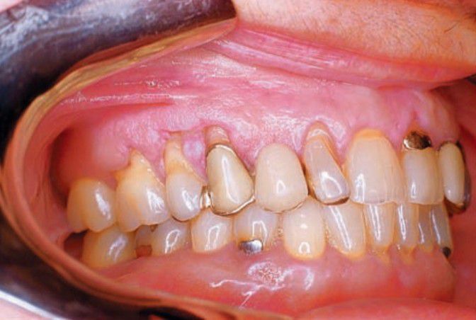
Abrasion of teeth associated with aggressive toothbrushing.
Oralpathology
Tooth
Abrasion
0
0
0
Other comments
Sign in
to post comments. You don't have an account?
Sign up now!
Related posts
History of present complaint
Deceptive normal variant
Deceptive normal variant
Turner tooth
Shell tooth.
Overlooked tooth trouble
Attrition and abrasion.
Mixed pattern tooth loss.
Abrasion
The effects of tooth brushing in the same patient.
Recent MCQs
Show more MCQs
Recent flashcard sets
Show more flashcards
Feed
Learn
Add
Search
Discuss