Feed
Library
Learning
Discuss
Leaderboard
Journal
Sign in
Login
Sign up
Sign in
Feed
Library
Learning
Discuss
Leaderboard
Journal
Zunaira saleh
almost 2 years ago
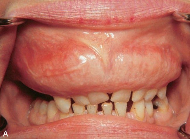
Pagets disease of bone
Paget’s disease of the maxilla. Note uniform, symmetric enlargement.
Disease
Oralpathology
Pagets
0
0
2
Other comments
Sign in
to post comments. You don't have an account?
Sign up now!
Related posts
Symptoms of Alpha-1 Antitrypsin deficiency
History of present complaint
Deceptive normal variant
Deceptive normal variant
Pagets disease
Paget’s disease.
Paget’s disease of bone
Pagets disease
Addison's Disease
Rheumatoid disease
Recent MCQs
Show more MCQs
Recent flashcard sets
Show more flashcards
Feed
Learn
Add
Search
Discuss