MEDizzy
MEDizzy
Zunaira saleh
Zunaira salehalmost 2 years ago
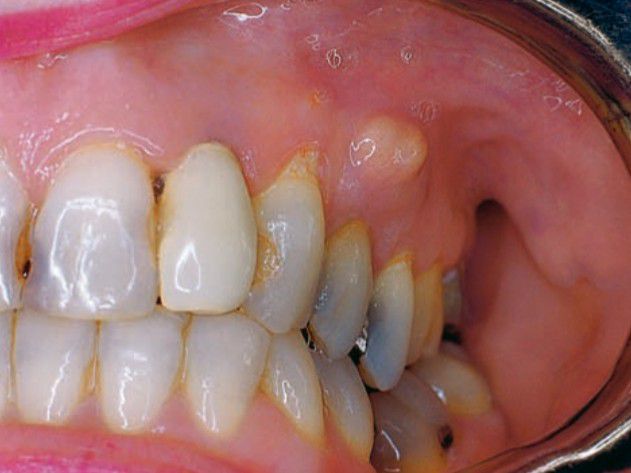
Gingival abscess

Gingival abscess

Parulis (gingival abscess) in maxillary mucosa and representing pus extension from a periapical abscess

0
Other commentsSign in to post comments. You don't have an account? Sign up now!

Recent MCQs















Show more MCQs

Recent flashcard sets















Show more flashcards