
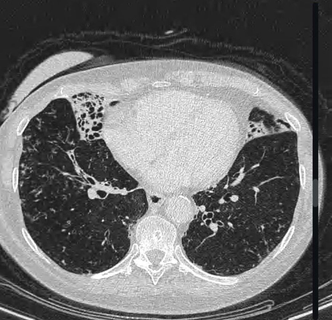
Extensive bronchiectasis and volume loss predominantly affecting the right middle lobe and the lingula segment of the left upper lobe. Bronchiectasis is also present at the lung bases. Centrilobular nodules and tree-in-bud nodularity are seen with basal predominance. Sputum was positive for Mycobacterium avium 5 years ago and the patient underwent antituberculosis treatment. This pattern of lung involvement (right middle lobe and lingula predominant) with bronchiectasis and volume loss is typical for Mycobacterium avium complex (MAC) infection.