
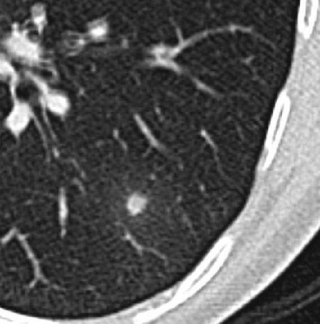
There is a 6 mm nodule in the left lower lobe, with faint surrounding ground glass attenuation, which is new compared with a CT chest from 5 months prior. The ground glass halo around a nodule suggests involvement of the adjacent alveoli or septa at a resolution too fine for our CT equipment... it could represent either fluid/hemorrhage or possible "lepidic" growth of a tumor (as with bronchoalveolar cell carcinoma).. By: https://www.instagram.com/p/C4-zEILN-4J/?utm_source=ig_web_copy_link