
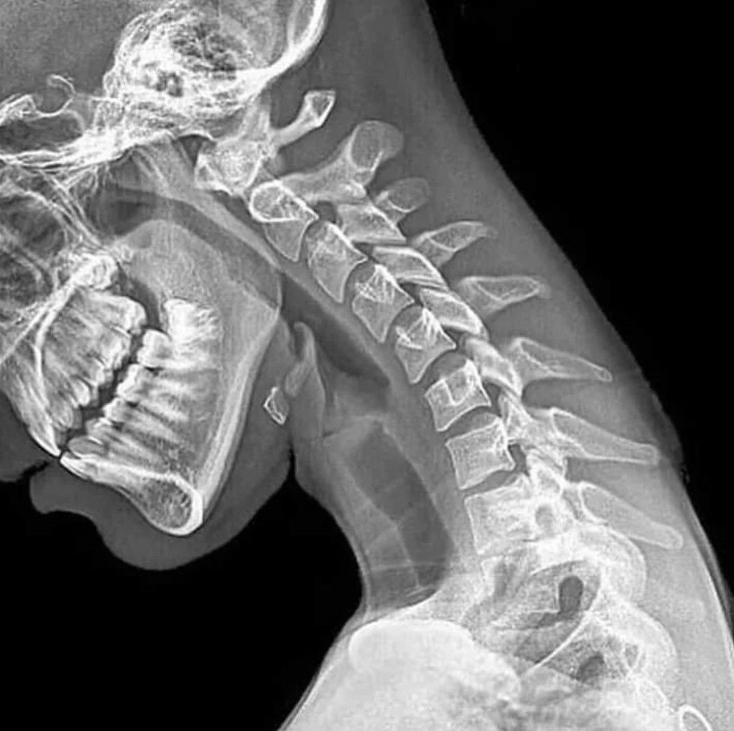
What your cervical spine looks like while being on your phone too much and texting your gf/bf ! It's diagnosed as "Text Neck" Text neck is the term used to describe the neck pain and damage sustained from looking down at your cell phone, tablet, or other wireless devices too frequently and for too long.