Feed
Library
Learning
Discuss
Leaderboard
Journal
Sign in
Login
Sign up
Sign in
Feed
Library
Learning
Discuss
Leaderboard
Journal
Zunaira saleh
almost 2 years ago
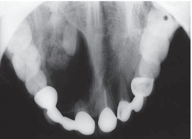
Calcifying odontogenic cyst
Calcifying odontogenic cyst of the maxilla seen in association with an impacted tooth.
Medizzy
Oralpathology
Cyst
0
0
0
Other comments
Sign in
to post comments. You don't have an account?
Sign up now!
Related posts
Homogenous leukoplakia
Hairy leukoplakia
Lichen planus
Lichen planus
Lichen planus
Dry mouth : cheilitis
Dry mouth;caries
Sjögrens syndrome
Symptoms of Sjögrens syndrome
Symptoms of Sjögrens syndrome
Recent MCQs
Show more MCQs
Recent flashcard sets
Show more flashcards
Feed
Learn
Add
Search
Discuss