MEDizzy
MEDizzy
Zunaira saleh
Zunaira salehover 1 year ago
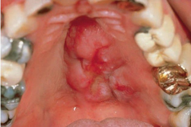
Lymphoma of palate

Lymphoma of palate

Lymphomas are malignant neoplasms of component cells of lymphoid tissues. Broad division of the group into Hodgkin’s and non-Hodgkin’s lymphomas is widely accepted.

0
Other commentsSign in to post comments. You don't have an account? Sign up now!

Recent MCQs















Show more MCQs

Recent flashcard sets















Show more flashcards