
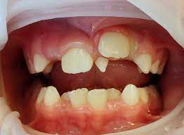
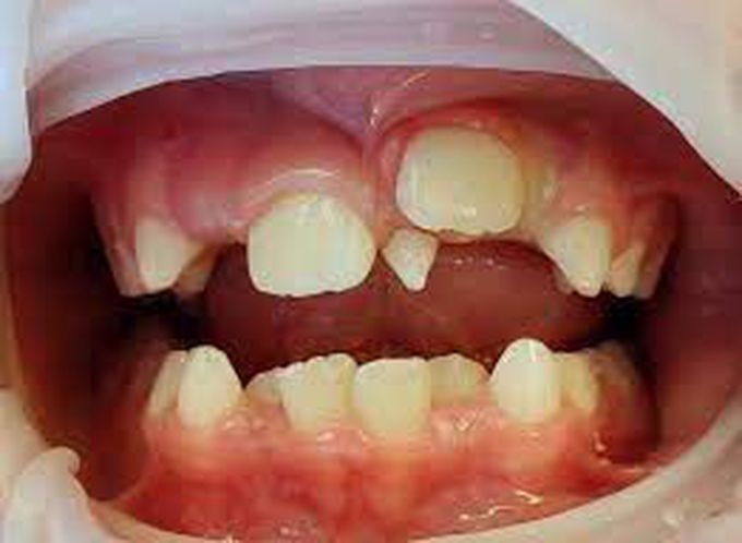
Dentists can diagnose hyperdontia during a routine examination. If extra teeth have erupted (grown in), they’ll be able to see them by looking inside your mouth. They can also take dental X-rays or CT (computed tomography) scans to see any impacted supernumerary teeth.