Feed
Library
Learning
Discuss
Leaderboard
Journal
Sign in
Login
Sign up
Sign in
Feed
Library
Learning
Discuss
Leaderboard
Journal
Zunaira saleh
almost 2 years ago
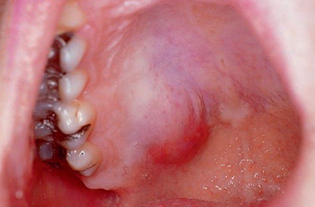
Mixed tumor
Picture shows pleomorphic adenoma of the palate
Salivary
Tumors
Glands
0
0
1
Other comments
Sign in
to post comments. You don't have an account?
Sign up now!
Related posts
Sialolithiasis
Stone in wharton duct
Removal of sialolith
Salivary gland removal
Mucocele
Ranula
Ranula
Ranula surgery
Bacterial parotitis
Bacterial parotitis
Recent MCQs
Show more MCQs
Recent flashcard sets
Show more flashcards
Feed
Learn
Add
Search
Discuss