
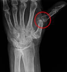
A joint subluxation is a partial dislocation of a joint. It is often the result of acute injury or repetitive motion injury but can also be caused by medical conditions that undermine the integrity of ligaments. The treatment for subluxations may include resetting the joint, pain relief, rehabilitation therapy, and, in severe cases, surgery.